Врач-стоматолог-терапевт

КальтюгинаАнастасия Владимировна

Анастасия Владимировна — один из самых опытных специалистов клиники «Детали». Более 23 лет клинической практики в области терапевтической стоматологии. Специализируется на лечении кариеса, пульпита, периодонтита, художественной реставрации зубов и профессиональной гигиене полости рта.

Стаж работы 23 года (с 2001 года).

Кальтюгина Анастасия Владимировна
Листайте вниз

Направления работы

Терапевтическая стоматология и эстетическая реставрация

Лечение кариеса

Современные методы диагностики и лечения кариеса на любой стадии с использованием качественных пломбировочных материалов

Лечение пульпита и периодонтита

Эндодонтическое лечение корневых каналов с применением современного оборудования и материалов

Художественная реставрация

Восстановление формы, цвета и функции зубов с помощью современных композитных материалов

Профессиональная гигиена

Комплексная профессиональная чистка зубов, удаление зубного камня и налёта, полировка

Примеры работ

Реальные результаты лечения наших пациентов

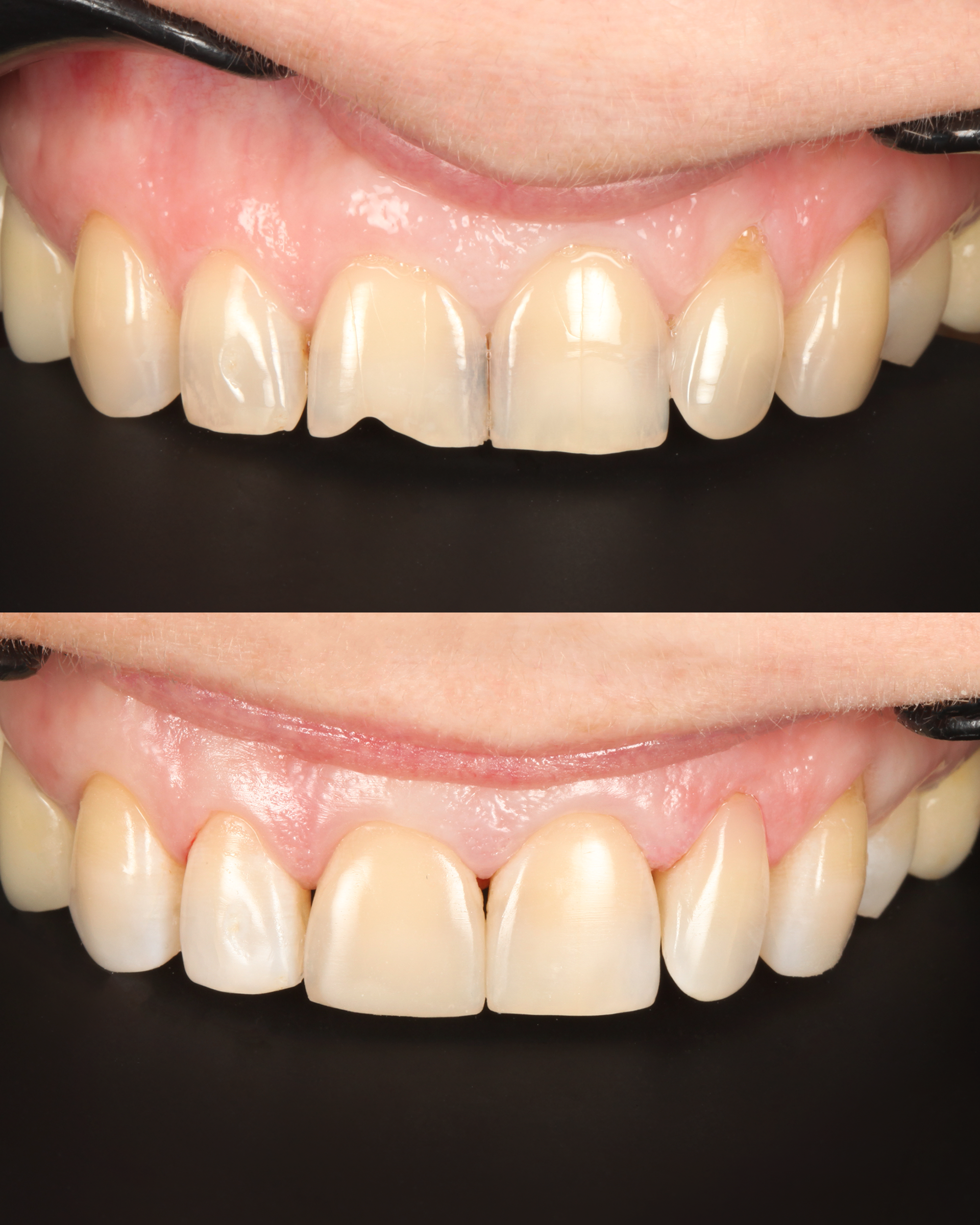
Художественная реставрация — до и после До После

Художественная реставрация

Восстановление формы и цвета передних зубов композитными материалами. На одном снимке — состояние до лечения и результат после.

Художественная реставрация Эстетическая стоматология

Запишитесь на консультацию

Оставьте ваши контактные данные, и мы свяжемся с вами в ближайшее время для подтверждения записи.

📞

Телефон

+7 993 011-34-22

📍

Адрес

г. Новосибирск, ул. Большевистская, д. 88

🕐

Режим работы

Ежедневно с 9:00 до 20:00

Как нас найти

Адрес клиники

г. Новосибирск, ул. Большевистская, д. 88

Телефон

+7 993 011-34-22

Режим работы

Ежедневно с 9:00 до 20:00