Клинические случаи

Реальные истории преображения улыбок наших пациентов по различным направлениям стоматологии

Ортодонтия

Исправление прикуса и выравнивание зубов

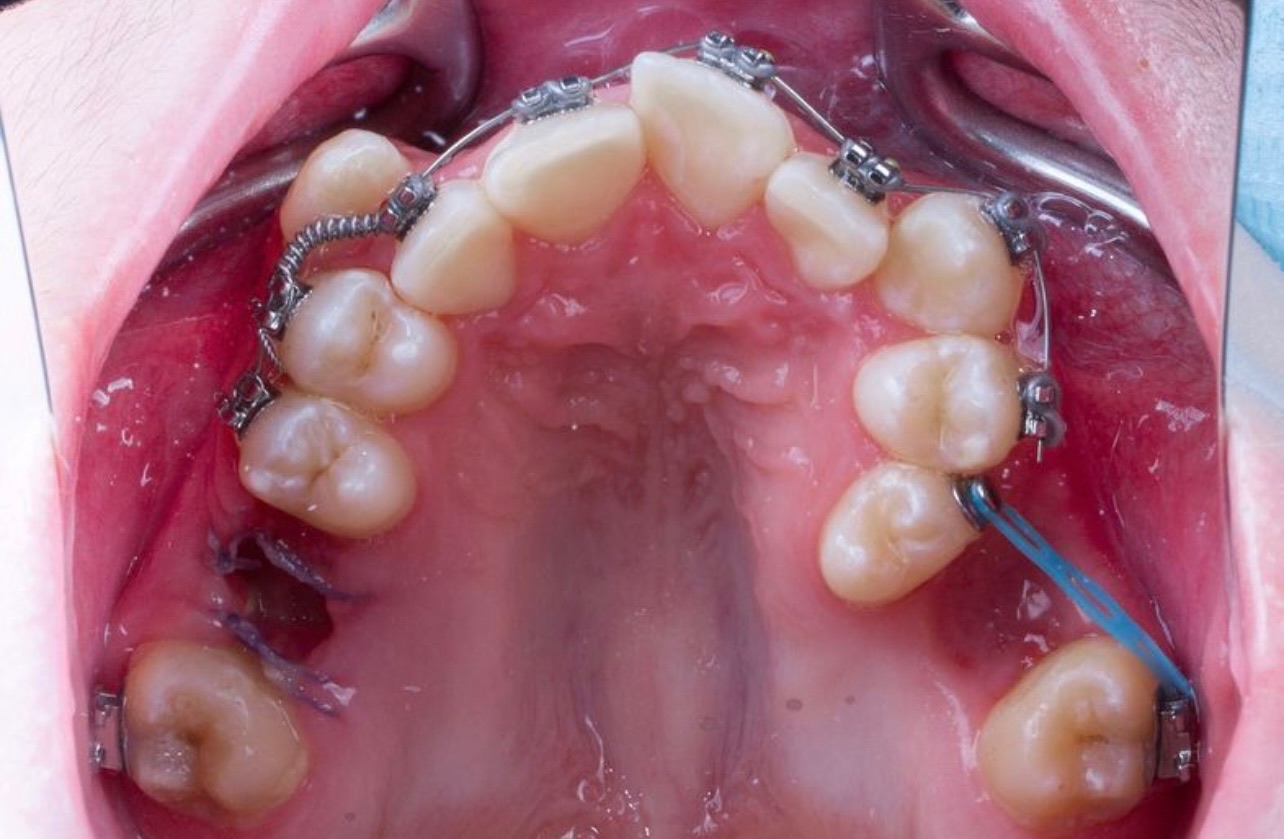
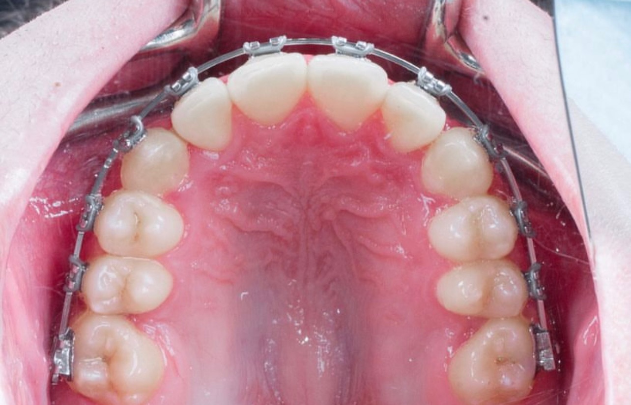
До лечения До
После лечения После

Ортодонтическое лечение брекет-системой

Выравнивание зубов и коррекция прикуса брекет-системой. Идеальная улыбка без компромиссов.

Брекеты H4 12 месяцев
До лечения До
После лечения После

Исправление прикуса элайнерами

Ортодонтическое лечение на элайнерах. Незаметное и комфортное выравнивание зубов.

Элайнеры Invisalign 8 месяцев
Кейс Саниной — до лечения До
Кейс Саниной — после лечения После

Ортодонтическое лечение

Комплексное ортодонтическое лечение пациента. Коррекция прикуса и выравнивание зубов.

Ортодонтия
Кейс Тараскиной — до лечения До
Кейс Тараскиной — после лечения После

Ортодонтическое лечение

Комплексное ортодонтическое лечение пациента. Исправление прикуса и выравнивание зубного ряда.

Ортодонтия Отбеливание Zoom 4

Эстетическая стоматология

Создание красивой улыбки

Художественная реставрация — до и после До После

Художественная реставрация

Восстановление формы и цвета передних зубов композитными материалами. На одном снимке — состояние до лечения и результат после.

Художественная реставрация Эстетическая стоматология

Имплантация

Восстановление утраченных зубов

До
После

Имплантация и протезирование

Восстановление зубов с помощью имплантов и керамических коронок.

Импланты Nobel Коронки E-max

Терапия

Лечение и восстановление зубов

До
После

Художественная реставрация

Восстановление формы и цвета зубов с помощью композитных материалов.

Композитная реставрация 1 визит

Хирургическая стоматология

Удаление зубов, пластика дёсен и костная пластика

Профессиональная гигиена

Чистка, Air Flow, профилактика

Хотите такой же результат?

Запишитесь на консультацию, и мы подберем оптимальное решение для вашей улыбки